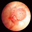
BAUS Home Virtual Museum Share Museum Spotlight Developments in the Management of Bladder Cancer From open implantation of radioactive implants, hazardous for patient & surgeon, to minimally-invasive bladder removal & targeted treatment In 1895, Ludwig Rehn used a cystoscope to... More Information Explore the site with Museum Quick Links Click the map below to see the Quick Links to individual rooms (or choose from the right-hand menu) A message from the curator Jonathan Goddard, Consultant Urological Surgeon The BAUS virtual museum is devoted to the history of urology. Each area displays a different aspect of the specialty, ranging from the History of Urology in pre-surgical times to recent advances in surgery and in urological instrumentation. The Museum contents are changing all the time, so please keep checking back to see what is new. As Curator, I hope you will use the ink below to email me if there is anything you would like to see included in the Virtual Museum. Email the Curator Meet the Museum Staff See the Museum Floorplan Key Periods in Urology History 0 0 Years Search Timeline Popular Tags Our most commonly used search tags are below: America army association BAUS bladder book catheters congress cystoscope Dublin Edinburgh endourology France Glasgow Harrogate hospital instrument Ireland Joyce lithotomy lithotrite Liverpool London Manchester MICC Millin Morson photography procedure prostate Roman RSM Scotland SEC stones Three P's TURP urethra urinary world war The Curator's "Highlights" Developments in Bladder Cancer What has changed in the bladder cancer treatment since BAUS was founded in 1945? Escaping Through Painting Showcasing the talent of the curator of the Members' Art Gallery BAUS 2025 ASM Catch up with events & images from the 2025 conference in Manchester The Medal Cabinet Explore the Junior Curator's collection of medals awarded to ditinguished urologists Virtual Museum Museum Quick LinksBAUS 80th AnniversaryAdvances in the Management of Erectile Dysfunction Advances in the Management of Prostate Cancer Developments in the Management of Bladder Cancer How Has BAUS Come So Far? Managing Stones in the Kidney & Ureter Medical Treatment of Lower Urinary Tract Symptoms (LUTS) Origins of Interventional Uro-Radiology Progress in the Management of Infertility Progress in the Management of Urinary Incontinence Surgery for Benign Enlargement of the Prostate The Story of Robotic-Assisted Urology The Urologists' Crystal Ball - Back to the Future BAUS Members Art GalleryHall 1 - Painting & DrawingCelebrity Sketches in Charcoal & Pencil Covid Creativity Escaping Through Painting Flowers, Girls & French Bulldogs Mindfulness in Surgical Handicraft Self-Portrait & Lake District Scenes Seven Portraits & A Still Life South Island New Zealand Tourist Attractions & Anatomical Graphics Hall 2 - Sculpture, Pottery & Other ArtCyanotype on Fabric & Appliqué Quilts Sculptures in Stone & Metal Hall 3 - PhotographyAfrican Safari An Anniversary in Firenze BAUS 2021 Virtual Photographic Competition BAUS 2022 Photographic Competition BAUS 2023 Photographic Competition Bornholm - Denmark's Sunshine Island Mountains, Landscapes & Wildlife The Travelling President Storeroom (Archive)BAUS 1945 London Edinburgh BAUS (1961) Eric Riches' BAUS 1947 Album Copyright Advice Submitting Your Artwork Welcome to the Virtual Art Gallery Clubs, Societies and Associates RoomAmerican Association of Genitourinary SurgeonsHistory of AAGUS The AAGUS Mallet (or Gavel) American Urological AssociationHistory of the AUA European Association of UrologyHistory of the EAU Punch Club1949 Beginnings ... 1949 Member List 1950 to 1961 ... 1962 Glasgow 1963 Newcastle 1964 Manchester 1965 London 1966 Derby 1967 London 1968 Liverpool 1969 Bradford 1970 to 1983 ... 1984 Derby 1985 Wolverhampton 1986 Bristol 1987 Southampton 1988 Bournemouth 1989 Belfast 1990 Leicester 1991 Liverpool 1992 Leeds 1993 Brighton 1994 Bradford 1995 Winchester 1996 Dublin 1997 London 1998 Derby 1999 America 2000 Edinburgh 2001 Cambridge 2002 Manchester 2003 Worthing 2004 Vienna 2005 Galway 2006 Leeds 2007 Birmingham 2008 Norwich 2009 Leicester 2010 Brighton 2011 Farnborough 2012 Dublin 2013 Stevenage 2014 London 2015 Oxford 2016 Middlesbro' 2017 Belfast 2018 London 2019 London 2020 Postponed 2021 Isle of Wight 2022 Leicester 2023 Surrey 2024 Dublin 2025 Newcastle Royal Society of MedicineHistory of the Section Section Presidents (20th Century) Section Presidents (21st Century) Société Internationale d'UrologieHistory of the SIU Urological Club of Great Britain & Ireland (UCGBI)History of the UCGBI Diseases & Procedures RoomBladderCutting for the StoneCelsian Method (Apparatus Minor) High Approach Lateral Method Marian Method (Apparatus Major) Cystoscopy Developments in the Management of Bladder Cancer Interstitial Cystitis Transurethral Bladder Stone Treatment KidneysNephrectomy Nephrolithotomy Nephroscopy & PCNL ProstateRadical Prostatectomy Suprapubic Prostatectomy The Prostatic Punch Procedure TURP (Transurethral resection of the prostate) UretersRetroperitoneal Fibrosis Famous Clinicians RoomArthur Fergusson McGill Arthur Jacobs Charles Phillips Clifford Morson Cuthbert Dukes David Band Edward Canny Ryall Edwin Hurry Fenwick Emily Catherine Lewis Felix Guyon François Gigot de La Peyronie Frank Kidd Frederick "Snorker" Barrington Frederick Swinford Edwards Geoffrey Parker Helen Wingate Horace Winsbury-White Hugh Hampton Young Jacques de Beaulieu JB ("Jim") Macalpine Joanna Stephens Joaquín María Albarrán y Domínguez John Blandy John Swift Joly John Wickham Reginald Harrison RHOB ("Joey") Robinson Richard Turner-Warwick Ronald Ogier Ward Sir Eric Riches Sir Francis Cruise Sir George Buckston Browne Sir Henry Thompson Sir John Thomson-Walker Sir Peter Freyer Terence Millin Thomas Chapman Thomas Hollier Walter Galbraith William Cheselden William Keith Willie Mack Hall of EponymsEponyms with Urological Connections ... and brief biographiesNames that Aren't Eponyms ... but probably should have beenHistory of BAUS RoomAnnual Scientific MeetingsBAUS 1945 London BAUS 1946 London BAUS 1947 Glasgow BAUS 1948 London BAUS 1949 London BAUS 1950 Manchester BAUS 1951 Glasgow/Edinburgh BAUS 1952 London BAUS 1953 Leeds BAUS 1954 Dublin BAUS 1955 London BAUS 1956 Liverpool BAUS 1957 London BAUS 1958 London BAUS 1959 Glasgow BAUS 1960 London BAUS 1961 Edinburgh BAUS 1962 London BAUS 1963 Leeds BAUS 1964 Sheffield BAUS 1965 London BAUS 1966 Manchester BAUS 1967 London BAUS 1968 Cardiff BAUS 1969 London BAUS 1970 Glasgow BAUS 1971 London BAUS 1972 Newcastle upon Tyne BAUS 1973 London BAUS 1974 Torquay BAUS 1975 Cardiff BAUS 1976 London BAUS 1977 Aberdeen BAUS 1978 Brighton BAUS 1979 Bristol BAUS 1980 Liverpool BAUS 1981 London BAUS 1982 Newcastle upon Tyne BAUS 1983 Harrogate BAUS 1984 Dublin BAUS 1985 Eastbourne BAUS 1986 London BAUS 1987 Edinburgh BAUS 1988 Buxton BAUS 1989 Jersey BAUS 1990 Scarborough BAUS 1991 Glasgow BAUS 1992 Bournemouth BAUS 1993 Harrogate BAUS 1994 Birmingham BAUS 1995 Brighton BAUS 1996 Edinburgh BAUS 1997 Bournemouth BAUS 1998 Harrogate BAUS 1999 Glasgow BAUS 2000 Birmingham BAUS 2001 Dublin BAUS 2002 Glasgow BAUS 2003 Manchester BAUS 2004 Harrogate BAUS 2005 Glasgow BAUS 2006 Manchester BAUS 2007 Glasgow BAUS 2008 Manchester BAUS 2009 Glasgow BAUS 2010 Manchester BAUS 2011 Liverpool BAUS 2012 Glasgow BAUS 2013 Manchester BAUS 2014 Liverpool BAUS 2015 Manchester BAUS 2016 Liverpool BAUS 2017 Glasgow BAUS 2018 Liverpool BAUS 2019 Glasgow BAUS 2020 Virtual BAUS 2021 Virtual BAUS 2022 Birmingham BAUS 2023 Birmingham BAUS 2024 Birmingham BAUS 2025 Manchester BAUS 2026 London BAUS 2027 Liverpool BAUS ParaphernaliaCheselden Medal The AAGUS Mallet (or Gavel) The Canadian Mallet (or Gavel) Presidents of BAUSAdrian D Joyce Alec Badenoch Anthony R Mundy Arthur Jacobs Clifford Morson David Band David Innes Williams Dennis S Poole-Wilson Derek P Fawcett Duncan J Summerton F James Bramble Geoffrey D Chisholm Howard Hanley Ian Pearce Joanne Cresswell John B Anderson John Blandy John D Fergusson John M Fitzpatrick John P Mitchell Joseph C Smith Kenneth ED Shuttleworth Kieran J O'Flynn Leslie Pyrah Mark J Speakman Michael Handley Ashken Patrick H O'Reilly R Fletcher Deane RHOB ("Joey") Robinson Richard A Mogg Richard Turner-Warwick Robert E Williams Ronald Ogier Ward Sir Eric Riches Terence Millin Timothy S O'Brien Victor W Dix W Keith Yeates Walter Galbraith William F Hendry Willie Mack The BAUS Coat of Arms The Birth of BAUS The British Journal of Urology Training & Academic Urology Hospitals and Institutions RoomAll Saints' Hospital London Leeds General Infirmary & Urology in Leeds Leicester Urology Department Norfolk and Norwich Hospital St Paul's Hospital London St Peter's Hospital for Stone London St Phillip's Hospital London The Shaftesbury Hospital Instruments & Equipment RoomAspiratorsDieulafoy Aspirator Potain Aspirator CathetersHamilton Irvine Box Roman Catheter Silver Catheters Thompson Catheters CystoscopesBraasch Cystoscope Brown-Buerger Cystoscope Cruise Endoscope Riches Cystoscope Ringleb Cystoscope Wolf Cystoscope EvacuatorsBigelow Evacuator Ellik Evacuator Freyer Evacuator Riches Bladder Syringe LasersLasers Lithotomy InstrumentsBistuary Cache Gourget Thompson's Lithotrite LithotritesBigelow Lithotrite Civiale Lithotrite Hendrickson Lithotriptor Riches Optical Wheel Lithotrite Thompson Blind Lithotrite NephroscopesStorz Nephroscope Prostatic PunchesThompson Prostatic Punch ResectoscopesMillin Resectoscope Ogier-Ward Resectoscope Stern-McCarthy Resectoscope Urethrotomes & DilatorsClutton's Sounds Holt Dilator Kollmann Dilators Lister's Sounds Maisonneuve Urethrotome Oberlander Dilator Phillips' Whips UrethroscopesHolborn Aero-Urethroscope Koch Urethroscope Valentine Urethroscope Young Urethroscope Removing Foreign BodiesInstruments in Other CollectionsJunior Curators RoomAutograph CupboardArthur H Jacobs Clifford Morson (1906) Clifford Morson (1946) E Canny Ryall Frank Seymour Kidd George Cleghorn Jim Macalpine RHOB Robinson Ronald Ogier Ward DSO OBE MC Sir Eric W Riches Sir Henry Morris Sir Henry Thompson Bt. Sir Peter Freyer KCB Sir Thomas Molyneux Bt FRS Terence John Millin Walter W Galbraith Medal Cabinet1890 International Medical Congress 1894 International Medical Congress Medal 1909 International Medical Congress Medal 1913 International Medical Congress Medal 1949 SIU Congress Medal 1952 SIU Congress Medal 1958 International Congress of Urological Films Medal 1958 SIU Congress Medal 1970's Canterbury Tales Medal 1995 Polish Urological Association Medal 1995 Portuguese Urological Association Medal Afghanistan & Iraq War Medals Cheselden Medal Chevassu Medal Ferdinand C Valentine Medal John Barrett's Victoria Cross Medals of Richard Turner Warwick Medals of Ronald Ogier Ward Medals of Sir Eric Riches Peruvian Urological Society Medal Reserve Decoration SIU President's Medal Stamp CollectionAlbert Calmette (France) Alexander Fleming (Hungary) Alfred Fournier (France) Ambroise Paré (France) Ambroise Paré (Hungary) Andreus Vesalius (Belgium) Averroes (Tunisia) Avicenna (Algeria) Avicenna (Austria) Avicenna (France) Avicenna (Hungary) Baron Dominique Larrey (France) Benjamin Franklin (USA) Calmette & Guerin (Afars and Issas) Crawford Long (USA) Dioscorides (Yemen) Edmond Nocard (France) Félix Guyon (France) Galen (Greece) Girolamo Fracastoro (Italy) Hippocrates (Greece) Hippocrates (Hungary) Ignác Semmelweis (Austria) Ignác Semmelweis (Hungary) James Weddell (British Antarctic Territory) John Coakley Lettsom (British Virgin Islands) Joseph Hyrtl (Austria) Joseph Lister (GB) Joseph Lister (GB) Jozef Dietl (Poland) Leopold I (Belgium) Lister's Carbolic Spray (GB) Lithotome (Germany) Louis Pasteur (The Afars and the Issas) Maimonides (Israel) Mandrake (Austria) Marie Curie (France) Paracelsus (Germany) Penicillin (GB) Piraja de Silva (Brazil) Rhazes (Iran) Robert Koch (Germany) Robert Koch (Germany) St Andrew (Cyprus) St Benedict (Germany) St Peter (GB) St Ursula (Virgin Islands) The Kidneys (Greece) The Mayo Brothers (USA) Theodor Bilharz (UAR) Wilhelm Röntgen (Transkei) William Harvey (Argentina) William Harvey (Hungary) William Harvey (USSR) William Morton (Transkei) Xavier Bichat (France) Introduction & Welcome The Bladder Stone Crusher The Junior Curator's Office Videos & Vlogs LibraryBooks & Articles on the History of UrologyDe Historia Urologiae Europaeae Europe - The Cradle of Urology The History of Urology Under The Knife Urology - A View Through The Retrospectoscope Urology News Articles Waterloo Books & Articles on Specific Diseases & ProceduresInterstitial Cystitis Open Prostatic Surgery Retroperitoneal Fibrosis Stones TURP Urethral Disease BAUS History of Urology Posters Books & Articles on People in UrologyArthur Jacobs Charles Phillips Clifford Morson David Band Edwin Beer Frank Kidd Harry Attwater Joaquín María Albarrán y Domínguez John Blandy Peter Camper Ronald Ogier Ward Sir Eric Riches Sir Henry Thompson Sir Peter Freyer Victor W Dix William Cheselden Books & Articles on Instruments General History of Endoscopy Histoire de la Lithotritie History of the Cystoscope Riches Cystoscope with the Kidd's Ball Memorial GardenAbdul Mabud Chowdhury Andrew Pengelly Bill Hendry Clive Charlton Jeremy Feggetter TD DL OStJ John Anderson John Leighton Williams Kien Alfred Mteta Paul Downey Peter Melville Thompson Philip Clark Philip Thomas Professor Chris Heyns Professor Marek Miller Professor Paul Abel Professor Rob Pickard Ralph Campbell Beard Richard Notley Richard Turner Warwick CBE Sa'ad Al-Dujaily Sean Vesey Sir David Innes Williams Other Museum CollectionsThe Bristol (Roger Feneley) Collection The Cambridge (John Withycombe) Collection The Derby (Richard Stanford) Collection The Freeman Hospital (Toby Page) Collection The Leeds (Philip Clark) Donation The Leicester (Tim Terry) Donation The Leicester Royal Infirmary Collection The Morris Donation The Neath Hospital (Ayman Younis) Collection The Sunderland (Raymond Roy) Collection Standing on the Shoulders of GiantsMr John Wickham Mr Richard Turner Warwick Professor John Blandy Sir David Innes Williams ToiletsA Brief History of The Flush Toilet A Brief History of The Male Urinal Time Corridor17th Century 18th Century 19th Century 20th Century Ancient China Ancient Egypt Ancient Greece Ancient India Ancient Israel Arabic Medicine Imperial China Mayan Medicine Medieval Europe Mesopotamia Prehistory Roman Medicine The Dark Ages Urological CharitiesThe Urology Foundation (TUF) Print this page Email to a friend Link to this page Add to My Links Save as PDF Give feedback